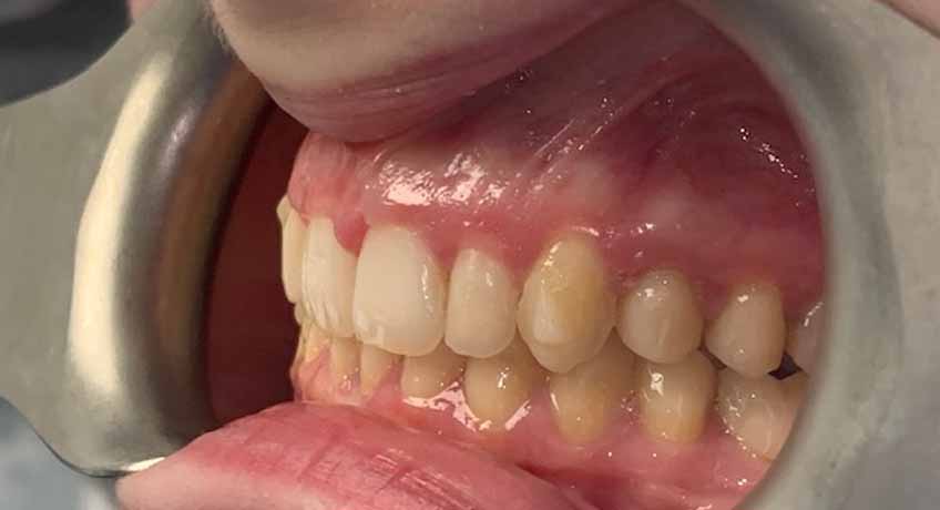
Before using Invisalign from Bayswater Dental Clinic
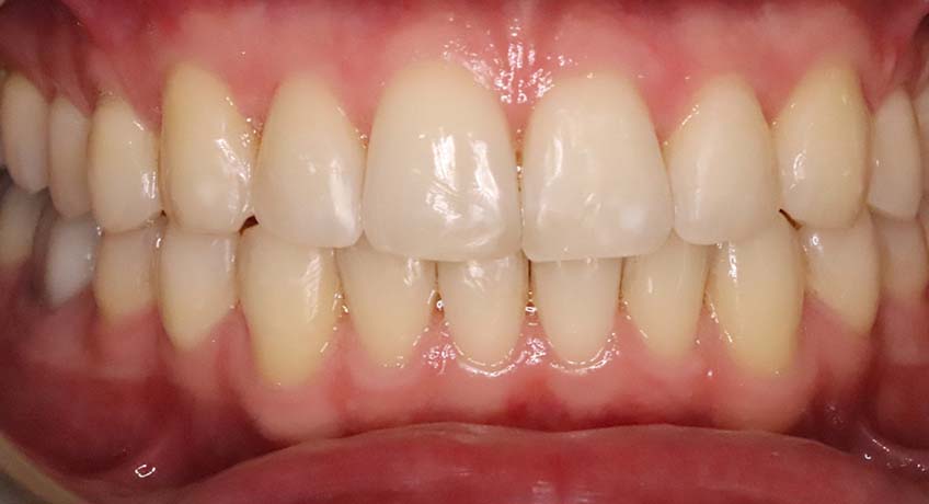
After using Invisalign from Bayswater Dental Clinic

Invisalign in London

We are proud provider of Invisalign in London. Our specialist’s dentists have straightened more than 1000’s of smiles with invisible clear braces at cost effective prices in the UK. The Invisalign treatment costs at our clinic generally start at around £1499 and can go up £3649 in package offers.

Invisalign braces offer a convenient and pain-free teeth straightening option for improving your smile and overall dental alignment. Your teeth are gradually realigned by our experienced Invisalign dentists using custom-made clear aligners in London at Bayswater Dental Clinic. Choosing Invisalign treatment ensures that:

Alternative package offers to Invisalign at Bayswater Dental Clinic
  • You achieve your ideal smile quickly and discretely with Invisalign.
  • The treatment Invisalign braces is pain-free without interrupting your busy daily routine.
  • Easier to keep the teeth clean and have healthy gum with Invisalign braces.
  • Invisalign is much easier to tolerate than the conventional braces.
  • No restriction in your diet and what you can eat.
  • Can stop the Invisalign treatment for few hours for special occasions likes weddings, meetings, etc.

This Invisalign treatment was completed with Invisalign Comprehensive (also known as Invisalign Full) and took 18 months to complete. We have the knowledge and the ability to finish very complicated cases with Invisalign.

Invisalign patients at Bayswater
Dental Clinic will get:

Invisalign patients at Bayswater Dental Clinic
  • Free consultation
  • Fixed prices with Invisalign package offers
  • Free 3 set of Invisalign Vivera removable retainers with Invisalign packages for Invisalign Lite and Invisalign Comprehensive offers (Worth £499)
  • Free home whitening (Worth £250)
  • Free OPG x-ray with Invisalign packages for Invisalign Lite and Invisalign comprehensive (worth £50)
  • Appointments available at weekends and late evenings
  • Up to 18 months 0% finance available on all Invisalign Lite and Invisalign Full cases

Easy access to our Invisalign London clinic in West London, W2 from all parts of London Most importantly, the best care, dental service, and aftercare

How Does Invisalign Treatment Work?

Based on Invisalign London dentist’s diagnosis and your preferences, a series of Invisalign aligners are custom made in a laboratory using advanced computer imaging technology.

During the treatment, the patient wears each Invisalign aligner for 10 to 14 days before replacing it with the next one. Unlike conventional braces, the Invisalign aligners can be removed for eating and cleaning.

Having well-aligned teeth in adulthood benefits you in many ways:
Better oral hygiene with Invisalign Treatment

Better oral hygiene – brushing, flossing and keeping your gums clean and healthy is easier

A more aesthetic and pleasing smile with Invisalign Treatment

A more aesthetic, pleasing smile builds confidence and transmits positive thinking

Reducing grinding and clenching with Invisalign Treatment

Reducing grinding and clenching are some of the many benefits of correcting the bite

Invisalign Special Offers In London

At Bayswater Dental Clinic, Invisalign costs are fixed. We, in Invisalign London, have these special offers which are one of the most affordable Invisalign fees in the UK.

Before using Invisalign with Special Offers
After using Invisalign with Special Offers from Bayswater Dental Clinic
  • £1499 for up to 7 aligners, Invisalign Express (usual price £2499).
  • £2599 for 1 to 14 aligners, Invisalign Lite package offer (usual price £3599).
  • £2949 for 15 to 20 aligners, Invisalign Moderate package offer (usual price £3949).
  • £3999 for 21+ aligners Comprehensive package offer (usual price £5149).

Invisalign Packages For Invisalign Lite And Invisalign Comprehensive Offers

We are pleased to present our patients with a unique Invisalign package offer.For a fixed price, we provide all that is needed forcompletion of Invisalign treatment plus the retainers needed. These offers are as follows:

Invisalign Lite Package Offer at Bayswater Dental Clinic

Invisalign Lite Package Offer

At a fixed cost of £2599, you will receive for 1 to 14 set of aligners for the top and bottom teeth, all the appointments needed till the 14th aligner is fitted, plus the followings:

  • Home Tooth whitening, worth £250.
  • 3 set of Invisalign Vivera removable retainers for the top and bottom jaws, worth £499.
  • An OPG, a wide dentalx-ray, worth £50
  • 3D scan of your teeth for the Invisalign clincheck video, worth £95.
  • Pay as you go option, or
  • 5% discount if all the cost is paid in advance, or
  • Up to 18 months 0% finance
Invisalign Comprehensive Package Offer

Invisalign Comprehensive (Full) Package Offer

At a fixed cost of £3999, you will receive for 1 to 14 set of aligners for the top and bottom teeth, all the appointments needed till the 14th aligner is fitted, plus the followings

  • Home Tooth whitening, worth £250.
  • 3 set of Invisalign Vivera removable retainers for the top and bottom jaws, worth £499.
  • An OPG, a wide dentalx-ray, worth £50
  • 3D scan of your teeth for the Invisalign clincheck video, worth £95.
  • Pay as you go option, or
  • 5% discount if all the cost is paid in advance, or
  • Up to 18 months 0% finance

Invisalign Express

(Has 7 Aligners) at

£1499

Usual Fee

£2499

Exclusive Packages Only For

*Invisalign Lite Package*

special offer at a fixed fee of 1 to 14 aligners

£2599.00

(USUAL PRICE £3599)

*Invisalign Moderate Package*

special offer at a fixed fee for 15 to 20 aligners

£2949.00

(Usual price £3949)

*Invisalign Comprehensive Package*

special offer at a fixed fee for 21+ aligners

£3999.00

(Usual price £5149)
All Invisalign Packages at Bayswater Dental Clinic

All Packages Included:

  • Free 3 Sets of Removable Invisalign Vivera Retainers [Worth £499]
  • Free Consultation [Worth £49]
  • Free Home Teeth Whitening [Worth £250]
  • Free OPG X-ray [Worth £50]

*Pay as you go option of payment available

*Upto 18 month 0% interest payment plan

*Subject to credit check*

How Can I Spread The Cost For Invisalign In London?

We can make Invisalign affordable for all, with our Invisalign London Special Offers: Pay As You Go Payment Plan.The cost of the Invisalign treatment is broken down into parts as follows;

1

Payment for Clincheck video @ £400: Following your consultation, your Clincheck video is prepared, which shows how teeth will move.

2

Payment for making the aligners @£799: When you are happy with achievable result shown in your video, aligners are ordered to be manufactured by Invisalign.

3

Payments in each review appointment @£350: You are usually seen every 4-8 weeks and each time to come in, you make a payment of £350 towards the remaining cost, till your balance becomes zero.

These breakdowns are shown
in the table below.

Before gating affordable Invisalign treatment from Bayswater Dental Clinic
after
Clincheck cost Ordering Aligners cost Payments every 4-8 weeks
Invisalign i7 £400 £799 One payments of £350
Invisalign Lite package Offer £400 £799 4 payments of £350
Invisalign Moderate package Offer £400 £799 5 payments of £350
Invisalign Comprehensive package Offer £400 £799 7 payments of £355

0% Finance Options For Invisalign Treatments

Finance Options For Invisalign Treatments at Bayswater Dental Clinic

Up to 18 months 0% finance option for Invisalign Lite, Invisalign Moderate and Invisalign Comprehensive packages.

This allows monthly payments as low as;

  • £144 a month for Invisalign Lite package offer.
  • £183 a month for Invisalign Moderate package offer.
  • £205 a month for Invisalign Comprehensive package offer.

These prices are based on up to 18 months 0% finance. No deposit needed.

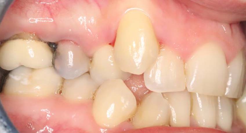
Before Invisalign Work For Me
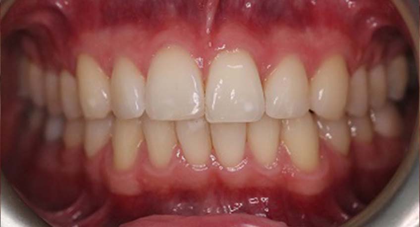
After Invisalign Worked For Me

Will Invisalign Work For Me?

The vast majority of patients with misaligned teeth, crowding, and gaps can be treated with Invisalign® even if they have veneers, crowns or bridges. Invisalign London can even treat mouths with some implants.

Common problems such as crooked or crowded teeth, spaces between teeth, and certain types of overbite and crossbite can often be corrected with invisible brace.

Depending on the level of treatment required, most treatments will take from 4 months for simple cases to 18 months for more complicated ones in Invisalign london.

Every 10-14 days, you change to a new aligner and Invisalign recommend review this once every 4-8 weeks.

  • Our experienced team of Invisalign dentists have completed more than 1000 of Invisalign cases successfully
  • Your beautiful smile becomes a reality with our offers
  • As low as £144/month for Invisalign Lite with 0% finance!
  • As low as £183/month for Invisalign Moderate with 0% finance!
  • As low as £205/month for Invisalign Comprehensive with 0% finance!
  • Book a free, no-obligation consultation ONLINE, or have Virtual Consultation
Invisalign costs at Bayswater Dental Clinic
Opening Hours
  • Monday 09:00AM - 08:00PM
  • Tuesday 09:00AM - 08:00PM
  • Wednesday 09:00AM - 08:00PM
  • Thursday 09:00AM - 08:00PM
  • Friday 09:00AM - 08:00PM
  • Saturday 09:00AM - 08:00PM
  • Sunday 09:00AM - 04:00PM