Porcelain Veneers Banner Image

Porcelain Veneers

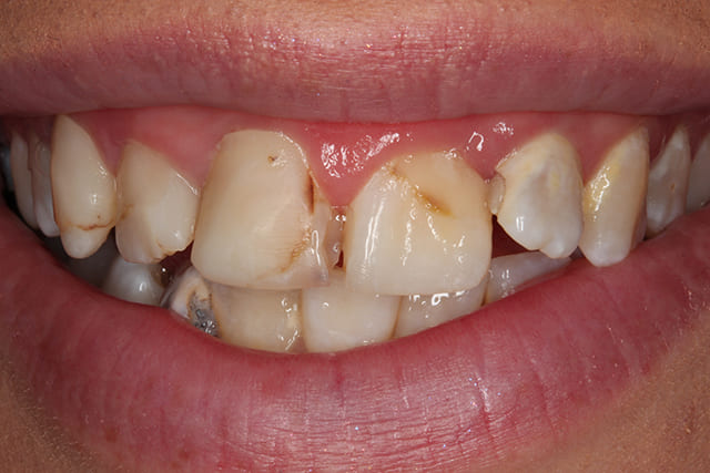
Before Porcelain Veneers image
After Porcelain Veneers image

Porcelain Veneers Cost in London, UK

Bayswater Dental Clinic provides light weight, long lasting and stunning Emax or porcelain veneers in London at cost effective prices. Our state-of-the-art porcelain veneers are carefully designed which best fitted over the front surface of your teeth. You can have no drilling, no injection ultra thin veneers for a beautiful Hollywood smile. Teeth porcelain veneers are a long-lasting cosmetic solution designed to enhance the shape, colour, and alignment of your smile with natural-looking results. Porcelain teeth treatments at Bayswater Dental Care are carefully tailored to deliver a brighter, more confident smile.

  • Book your free, no obligation veneer consultation
  • No drilling, no injection ultra thin veneers
  • Free whitening with 4 or more porcelain veneers
  • Up to 3 years 0% finance available

In dentistry, veneer is a thin layer of material, a laminate, that is placed over the teeth. With modern porcelain materials, the porcelain veneers can be made by the technicians in very thin layers that can be as thin as 0.3 of a millimetre. In cases where one wish to have more expressive teeth, one can use this type of veneers without any need for drilling or even any injections. They are ideal for people whom have small teeth or wish to close multiple gaps with their teeth.

Usage of Porcelain Veneers - Bayswater Dental Clinic

What porcelain veneers can be used for and is it for me?

The y are most commonly used for;

  • Enhancement of the smile.
  • Having very white teeth when it can not be achieved by whitening alone.
  • Discoloured and unsightly teeth.
  • Closing gaps or fixing chipped and broken teeth
  • Alignment of teeth that are mildly crooked.
  • That Hollywood smile for nice perfect appearance smile.
Advantages of Porcelain Veneers - Bayswater Dental Clinic

With use of modern porcelain materials such as Emax veneers or Lumineers, we can now make ultra thin veneers. The advantages they have can be listed as;

  • To completely remove or minimise the need for any tooth shaving or drilling
  • No injections will be needed as no drilling is done. But for the comfort of patient local anaesthetic can be used if the patients prefers to have it or the dentist think it would be to the benefit of the patient by keeping them more comfortable during the procedure.
  • Porcelain veneers can be very effective in giving a natural, uniform nice looking smile, specially when they are done in multiple numbers. There are few other options that can match the aesthetic result of porcelain veneers.
  • Porcelain veneers do not stain.
  • Within few appointments and very quickly the treatment is completed.
  • For mild crowding cases, the teeth are straightened almost instantly. to compare with orthodontic treatment. But one has be aware that veneer option is NOT a replacement service for orthodontic treatment.
Disadvantages of Porcelain Veneers - Bayswater Dental Clinic

What are the disadvantages of porcelain veneers?

They can be listed as ;

  • Because there is no or minimal drilling of the teeth, teeth can appear larger in size when the veneers are fitted. The ideal case for no drilling veneers is when one has small teeth and wish to have more expressive teeth.
  • To avoid teeth appearing larger in size and bulky, some tooth removal may be needed and this is not always advisable specially on sound healthy teeth. On this occasions composite veneers may be a a more suitable option.
  • They can deboned and come off.
  • They can chip and break which will require the veneers to be fully replaced and has cost implications.
  • FThey are not easily repairable, if at all possible.
  • Patients has to be aware that every 7-10 years they may need replacing and this has cost implications.
Porcelain Veneers Cost in London

How much porcelain veneers cost?

In general, the cost of any dental veneer is based on:

  • Experience and skills of the person providing the treatment.
  • Experience and skills of the dental technician making the veneers.
  • The type of materials used.
  • Whether they are brand types like Lumineers and Durathin veneers.
  • The cost of one or two veneers can be more than when one is having multiple veneers. There are also some additional costs such as for Trial Smiles which is a necessity when having more than 2 veneers.

At Bayswater Dental Clinic patients will receive:

  • Free consultation.
  • There is free home whitening when more than 4 veneers are done.
  • Emax veneers cost starts from £595 each and they are one of the most durable type of veneers.
  • Trial Smiles cost £50 per tooth with minimum fee of £250.

Do porcelain veneers break or come off?

Any form of porcelain veneer can come off. The likelihood of them coming off when they are cemented to the enamel of the teeth (which usually is the case when there is no tooth reduction or drilling) it has a low risk of de-bonding as bond is very strong to enamel. In this cases it is more likely that the veneer breaks due to excessive forces or inappropriate habits and diets. If a veneer breaks off, then almost certainly it needs to be replaced.

Can porcelain veneers stain or be whitened?

Porcelain veneers are covert resistant to stains and they do not easily stains, although the tooth around them does stain. Veneers cannot be whitened and once the colour of them is chosen at the time they are made, they remain at that colour.

Process of Doing Dental Veneers - Explained by Bayswater Dental Clinic

What is the process of doing dental veneers?

First, in your free consultation, patient will be listened to and find out what is their main concern and what they wish to have. Then teeth will be assessed and gum condition checked. Patient should have sound healthy teeth and gum before considering any cosmetic treatment. If they you have not had a recent check up, we can provide you with a check up and a clean if you wish to consider it.

Impressions of the prepared teeth is taken and provisional veneers are placed on the teeth which is based on the design discussed on the trial smile. Patient now can get a better idea of what their veneers will look like on their teeth and if they wish to make some minors changes, it is possible to do it at this stage before the final veneers are made in the lab.

Next stage is the fit of the veneers. When the dentist is satisfied with the veneers, we make sure our patients are also 100% happy with the shape, size and colour of the veneers before they are fitted on.

How Long Do the Porcelain Veneers Last - Bayswater Dental Clinic

How long do the porcelain veneers last?

This depends on many unpredictable factors.

  • The habits of the patient.
  • Whether patients grind their teeth or not.
  • Patients diet.
  • Accidental damage.
  • Patients bite and the position of the teeth.

As standard rule, however, it is expected for the veneers to last between 7-10 years. Some last much longer and some do not last as long for the reasons explained.

Opening Hours
  • Monday 09:00AM - 08:00PM
  • Tuesday 09:00AM - 08:00PM
  • Wednesday 09:00AM - 08:00PM
  • Thursday 09:00AM - 08:00PM
  • Friday 09:00AM - 08:00PM
  • Saturday 09:00AM - 08:00PM
  • Sunday 09:00AM - 04:00PM