Composite Veneers

Composite veneers cost between
£195-£395 each
1-18 months 0% finance available
£600 is the minimum fee to be eligible for finance

Composite Veneers in London, UK

Composite veneers require no drilling and no injection for instantly transforming your smile! The procedure is simple when it is done by an experienced and skilled cosmetic dentist!

In dentistry, placement of a thin layer of any material over a tooth is referred to as Dental veneers or laminates. Composite veneers, otherwise known as composite bondings, are a layer of resin base material that is directly applied to the tooth. So they are not made from porcelain.

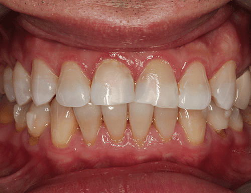
“One of the advantages of a composite veneer is that it does not need to fully cover all of a tooth. In this case, except the two front teeth, only the upper half of the teeth next to the gum are covered with composite veneers to mask the yellow discolouration of the teeth in the least invasive way. Such a technique is not possible with porcelain veneers”.

before
after

Who Can Have Composite Veneers?

Almost any person. They can be used to;
  • Improve the looks and appearance of the teeth.
  • To protect the surface of the teeth.
  • Change the colour of the teeth, usually a whiter shade.
  • To make teeth appear more straight and aligned.
  • To close gaps between teeth or make them larger in size.
  • To repair any chipped or broken section of a tooth.

WHAT ARE THE ADVANTAGES OF COMPOSITE VENEERS?

Composite veneers or dental bondings are one of the least invasive treatment options for improving your smile. In comparison with alternative porcelain veneers, composite veneers’ benefits can be listed as:

1 There is no need for teeth drilling in a vast majority of the cases. This makes composite veneers one of the most desirable forms of dental treatments. Composite veneers are considered to be a reversible treatment because there is no drilling necessary.
2 Unlike porcelain veneers, composite veneers do not necessarily need to cover all of the tooth surfaces. This allows them to be an ideal choice for closing or reducing gaps between teeth. A good example of this is the gaps most commonly seen with top front teeth, otherwise known as a diastema.
3 Composite veneers are easily repairable in comparison with alternative options. f porcelain veneers break or chip, a new one has to be made by the lab for replacing it. Composite veneers can be easily and directly repaired. Therefore composite veneers are a much cheaper and faster solution.
4 It is possible to reverse composite veneers much easier than porcelain veneers. This is because for placing composite veneers, no tooth has been drilled off in the first place.
5 Treatments are usually completed in one visit as composite veneers are directly placed on the teeth. With composite veneers the transformation of your smile is instant.
6 Composite veneers are usually cheaper than porcelain veneers or crowns.
7 Almost anyone can have composite veneers.

What Is The Cost Of Each Composite Veneer?

At Bayswater Dental Clinic we have been providing composite veneers in London for many years. Our fee is based on our skill, experience, how long it takes to do and how challenging is the case. Currently, a composite veneer costs between £195 to £395 each. This puts composite veneers in a lower price range than porcelain veneers.

What Are The Disadvantages Of Composite Veneers?

To compare with porcelain veneers as an alternative treatment:

Composite veneers can stain easier than porcelain veneers but they can be polished and cleaned regularly. The diets and habits of an individual can contribute a lot to the level of staining.

The quality and looks of composite veneers depend on the skill and experience of the person that makes them. For a good and natural looking composite veneer, it is not just enough to be a good dentist.

Composite veneers cannot be whitened. But this is true with any form of dental restorations including porcelain veneers. The patient should whiten their teeth first and then have the composite veneers done. Then the colour of the veneers can be matched to the whitened teeth.

How Long Do Composite Veneers Last? Is The Same As Porcelain Veneers?

It is said, on average, composite veneers last about 3-5 years in comparison with porcelain veneers which are expected to last about 7-10 years. However, there can be a large variation associated with both types. We have seen some composite veneers to last for more than 10 years, where in other cases porcelain veneers have not lasted for more than few years. In our experience, with keeping good oral hygiene and maintenance, dental veneers can last much longer.

Can Composite Veneers Break Easily?

The correct answer is no. Composite veneers do not break easily or in the same way as porcelain veneers can break. Composite veneer can chip for a variety of reasons, most commonly biting and chewing on hard food or grinding and clenching teeth. But even if they do break, Composite veneers are usually easily repaired in one visit. This is not the same with porcelain veneers.

After having your consultation to assess your suitability, a first trial smile can be done. A trial smile is a process of making the changes to your teeth on a cast model of them first. Based on the shape and design you wish to have for your composite veneers and teeth, the dental technician, in wax, makes veneers on the cast model of your teeth. it is a mock build up of the composite veneers to allow you to see what shape teeth you will end up with.

This is done by taking an impression of your teeth and sending it to the lab. Based on your requests and expectations, the modifications are made to your teeth on the cast model by an experienced dental technician.

In the meantime, you proceed with the whitening of your teeth if you have decided to whiten your teeth before the composite veneers are done. When you are happy with the whitening result, the composite veneers are directly added to your teeth, shaped, contoured and polished.

  • Book your free, no-obligation consultation
  • Transform your smile in one visit with composite veneers
  • Composite veneers cost between £195-£395 each
  • 1-3 years 0% finance available
Opening Hours
  • Monday 09:00AM - 08:00PM
  • Tuesday 09:00AM - 08:00PM
  • Wednesday 09:00AM - 08:00PM
  • Thursday 09:00AM - 08:00PM
  • Friday 09:00AM - 08:00PM
  • Saturday 09:00AM - 08:00PM
  • Sunday 09:00AM - 04:00PM