Dental Bonding at Bayswater Dental Clinic banner image

Dental Bonding

Dental Bonding (Composite Bonding) — An Affordable Cosmetic Option

Dental bonding, sometimes called composite bonding or composite veneer, is one of the most accessible and minimally invasive ways to enhance your smile. At Bayswater Dental Clinic, this treatment is used to reshape, repair, and brighten teeth — often without the need for drilling or injections.

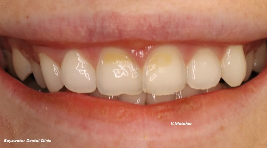
Dental Bonding treatment before - Bayswater Dental Clinic
Dental Bonding treatment after- Bayswater Dental Clinic

What Is Dental Bonding?

Dental bonding involves applying a tooth-coloured composite resin directly onto the surface of your tooth. The material is carefully sculpted, shaped, and polished to create a natural, seamless finish. Unlike porcelain veneers, composite bonding doesn’t always require covering the entire tooth, making it a more conservative choice.

Because it’s applied directly, the treatment can often be completed in a single visit — allowing you to walk out with an instantly improved smile. Cosmetic bonding is a minimally invasive dental treatment used to improve the shape, colour, and overall appearance of teeth. Composite veneers are carefully applied to the tooth surface to enhance your smile while preserving as much natural tooth structure as possible

Who Can Have Dental Bonding?

Who Can Get Dental Bonding?

Dental bonding is a versatile solution suitable for many dental concerns, including:

  • Improving the shape or colour of teeth
  • Protecting worn or sensitive surfaces
  • Closing gaps between teeth
  • Adding size to small or uneven teeth
  • Repairing chips and minor fractures
  • Making subtle alignment corrections

If your teeth and gums are healthy, dental bonding may be an ideal option for you.

Cost of each Dental Bonding in London - Bayswater Dental Clinic

Benefits of Dental Bonding

Compared with porcelain veneers or crowns, composite bonding offers several advantages:

  • Often requires no drilling or anaesthetic
  • Typically reversible because no enamel removal is needed
  • Quick repairs can be done easily if chips occur
  • Usually completed in a single visit
  • More affordable than porcelain alternatives
  • Suitable for a wide range of patients

Cost of Dental Bonding

At Bayswater Dental Clinic, composite bonding costs between £195 and £395 per tooth, depending on the complexity of the case and the time required.

Procedure for Dental Bonding in London - Bayswater Dental Clinic

Know More About Teeth Bonding

While dental bonding is a great solution, it’s important to be aware of its limitations:

  • Composite resin can stain over time, especially from coffee, tea, red wine, or smoking — though polishing can refresh its appearance.
  • The technique and artistry of your dentist play a big role in how natural the result looks.
  • Bonding material cannot be whitened later, so teeth whitening should ideally be done beforehand.
  • Bonding generally lasts 3–5 years, while porcelain veneers often last longer with proper care.
  • Composite is softer than porcelain, so avoid chewing hard items like ice, fingernails, or pens.
Related treatments to Dental Bonding at Bayswater Dental Clinic

How Dental Bonding Works?

  • Consultation & Planning

    You’ll start with a consultation to confirm that bonding is suitable for your needs and discuss your goals.

  • Smile Preview (Trial Smile)

    For multi-tooth treatments, we can create a mock-up to show how your new smile will look before treatment begins.

  • Optional Whitening

    If you’d like whiter teeth, whitening can be done before bonding to match the composite shade to your new tooth colour.

  • Application & Shaping

    Your teeth are cleaned and lightly prepared. The resin is applied in layers, sculpted to the desired shape, and set with a curing light.

  • Polishing & Finishing

    The bonded areas are refined, polished, and adjusted to ensure a natural look and comfortable bite.

Ready to transform your smile in just one visit?

Book your free consultation at Bayswater Dental Clinic today to find out how dental bonding can repair, refresh, and enhance your smile with minimal fuss. Teeth bonding is a quick and effective solution for repairing chips, closing gaps, and correcting minor imperfections for a natural-looking result.

Opening Hours
  • Monday 09:00AM - 08:00PM
  • Tuesday 09:00AM - 08:00PM
  • Wednesday 09:00AM - 08:00PM
  • Thursday 09:00AM - 08:00PM
  • Friday 09:00AM - 08:00PM
  • Saturday 09:00AM - 08:00PM
  • Sunday 09:00AM - 04:00PM