Recontoured Gums Before & After

Advanced Gum Surgery by a Cosmetic Dentist in Notting Hill

Gum reshaping, orthodontic braces, and gum surgery play a vital role in creating a balanced, healthy, and confident smile. A skilled cosmetic dentist in Notting Hill can combine these treatments to correct uneven gums, align teeth, and improve overall oral aesthetics, delivering personalised solutions that enhance both function and appearance.

Recontoured Gums Before & After

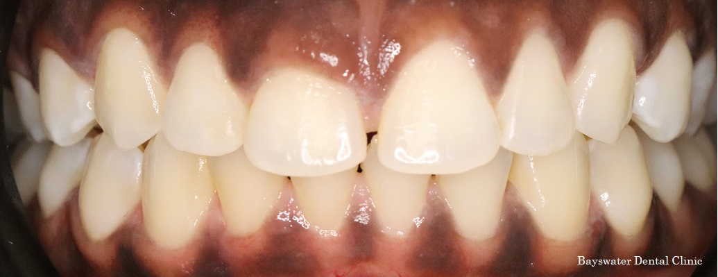
before
after

Soon after the Laser Gum surgery ! No bleeding and pain free too!!

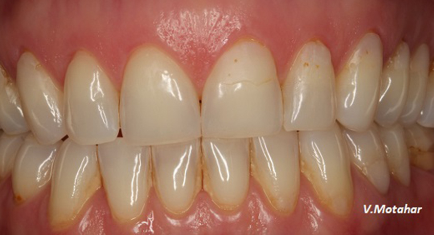
before
after

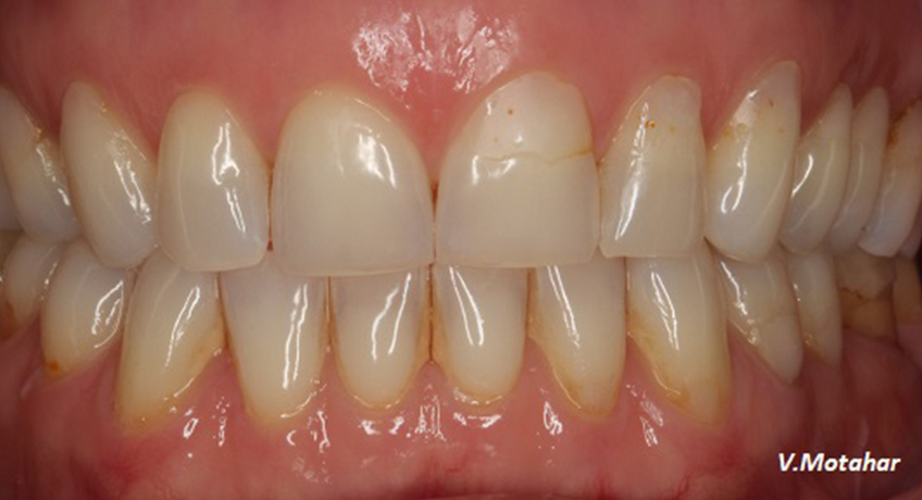
Combination of ‘Laser gum Re-contouring’ and ‘composite veneers’ on top front 6 teeth

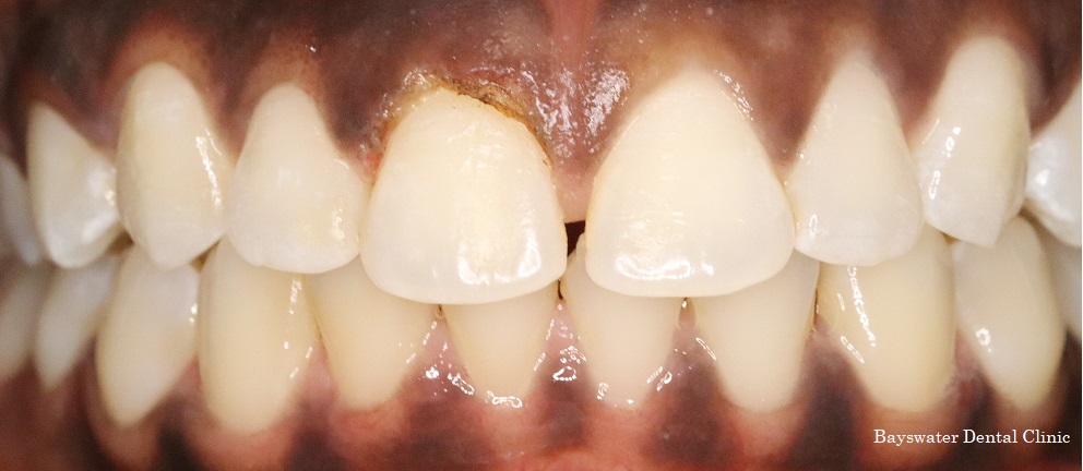
before
after

Two weeks after the surgery!!

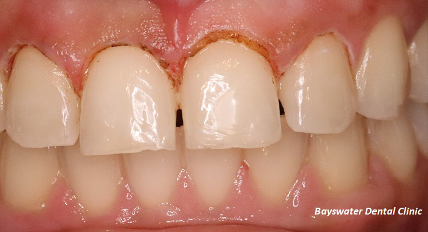
before
after
before
after

Single tooth laser gum contouring surgery.

Opening Hours
  • Monday 09:00AM - 08:00PM
  • Tuesday 09:00AM - 08:00PM
  • Wednesday 09:00AM - 08:00PM
  • Thursday 09:00AM - 08:00PM
  • Friday 09:00AM - 08:00PM
  • Saturday 09:00AM - 08:00PM
  • Sunday 09:00AM - 04:00PM