Crowns & Bridges Before & After

Dental Crowns Before & After Results From Bayswater Dental Clinic

Our crowns dental treatment before and after results showcase how damaged or worn teeth can be restored to their natural strength and appearance. At Bayswater Dental Clinic, we use high-quality materials to create crowns that blend seamlessly with your natural teeth. Dental crowns help improve tooth shape, colour, and function while protecting weakened teeth. Each treatment is carefully planned to ensure long-lasting, natural-looking results. Explore our before and after cases to see the difference expert crown treatment can make.

Crowns & Bridges Before & After

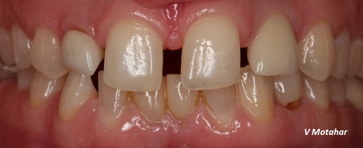
before
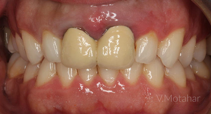
after
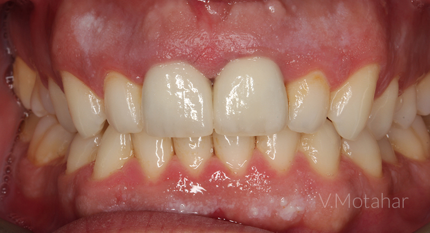
before
after

Porcelain( emax) crown and veneers on top from 8 teeth. Two existing crowns were replaced with new crowns and rest were the porcelain veneers

before
after

Old discoloured dental bridge is replaces with new porcelain bridge.

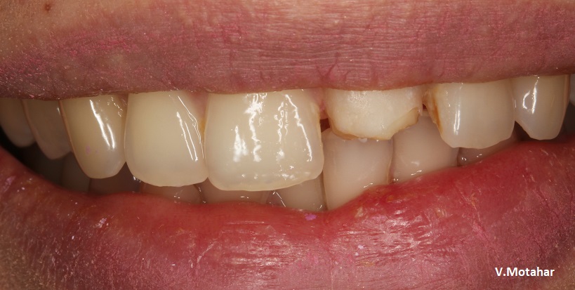
before
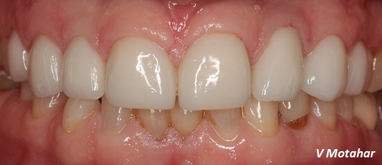
after

Porcelain( emax) crown and veneers on top from 8 teeth. Two existing crowns were replaced with new crowns and rest were the porcelain veneers

before
after
Opening Hours
  • Monday 09:00AM - 08:00PM
  • Tuesday 09:00AM - 08:00PM
  • Wednesday 09:00AM - 08:00PM
  • Thursday 09:00AM - 08:00PM
  • Friday 09:00AM - 08:00PM
  • Saturday 09:00AM - 08:00PM
  • Sunday 09:00AM - 04:00PM