Gum Bleaching Before & After

Teeth Bleaching Treatment– Before & After From Best Dental Clinic

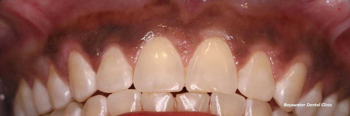
Explore the visible transformation achieved with professional gum bleaching, dental bleaching, and teeth bleaching through our before and after treatment photos from Bayswater Dental Clinic, Paddington. These advanced cosmetic treatments are designed to improve the colour of gums and teeth, enhance smile aesthetics, and boost overall confidence, delivering safe, effective, and natural-looking results under expert dental care.

Gum Bleaching Before & After

before
after
before
after

two weeks after The Laser Gum bleaching(upper jaw only)

before
after
Opening Hours
  • Monday 09:00AM - 08:00PM
  • Tuesday 09:00AM - 08:00PM
  • Wednesday 09:00AM - 08:00PM
  • Thursday 09:00AM - 08:00PM
  • Friday 09:00AM - 08:00PM
  • Saturday 09:00AM - 08:00PM
  • Sunday 09:00AM - 04:00PM