Teeth Whitening Before & After

Teeth Whitening Treatment by a Cosmetic Dentist in Kensington

Professional teeth whitening is a safe and effective way to brighten your smile and remove deep stains caused by food, drinks, and lifestyle habits. A skilled cosmetic dentist in Kensington offers advanced whitening treatment options that deliver noticeable, long-lasting results, helping you achieve a whiter, healthier, and more confident smile.

White Filling Before & After

before
after

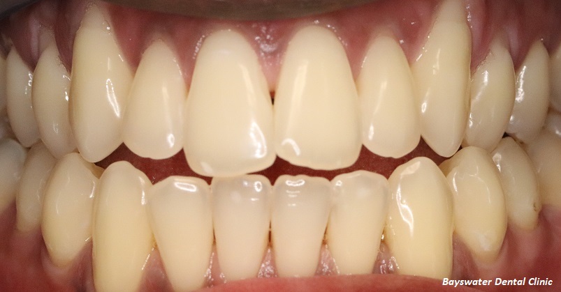
Excellent teeth whitening result. And, composite bonding’s were done on upper lateral incisors just to improve their shapes as patient requested.

before
after

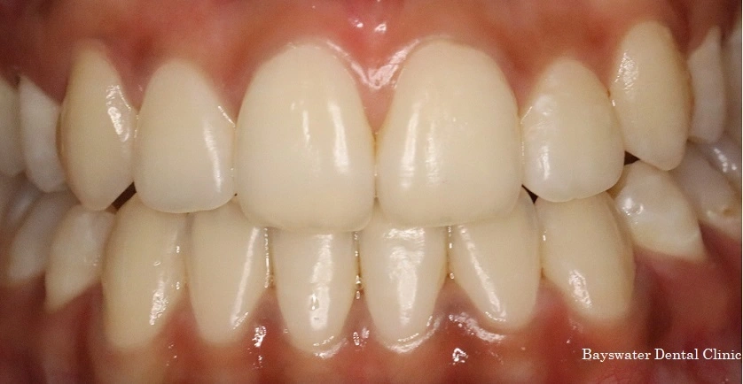
Laser teeth whitening at Bayswater Dental Clinic. Instant result.

before
after

Laser teeth whitening (Zoom)

before
after

Teeth Whitening with Enlighten Evolution III home and chair side system

before
after

Home teeth whitening using custom made teeth whitening trays and Enlighten teeth whitening gel

before
after

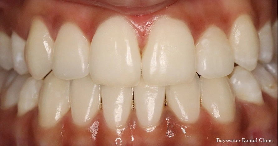
Zoom (laser) teeth whitening provided by our well experienced cosmetic dentist. This result was achieved after the 4 cycles( 15 minutes each) of zoom teeth whitening over the 2hrs of teeth whitening session.

before
after

Home teeth whitening using custom made teeth whitening trays

before
after

Home teeth whitening

Opening Hours
  • Monday 09:00AM - 08:00PM
  • Tuesday 09:00AM - 08:00PM
  • Wednesday 09:00AM - 08:00PM
  • Thursday 09:00AM - 08:00PM
  • Friday 09:00AM - 08:00PM
  • Saturday 09:00AM - 08:00PM
  • Sunday 09:00AM - 04:00PM