Visiting a dental hygienist at regular intervals can reduce the risk of developing gum disease and tooth decay. Dental hygienist can also reduce the risk of developing heart and Alzheimer’s disease. Visiting a dental hygienist not only helps in maintaining good oral health but also assists in supporting your overall general health. Regular hygiene appointments reduce the risk of dental emergencies, meaning you are less likely to need an emergency dentist due to preventable issues. Removing tartar and plaque, addressing concerns such as early signs of wisdom tooth pain, and showing you the correct way to brush and floss effectively with minimal risk of damage to the teeth and gums are the main responsibilities of a dental hygienist.
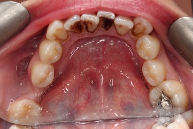
Build up of plaque, calculus and germs on the teeth causes a whole range of dental and general health problems. Bad breath (halitosis), gingivitis (gum inflammation) and periodontitis (irreversible gum disease) are some of the common dental problems that affect people. Dental hygienist can help with prevention or stabalising the gingivitis, bad breath and more serious issues like irreversible gum disease, known as periodontitis. Treatment by dental hygienist can also improve the the general health of a person by reducing the risk of developing heart diseases and Alzheimer’s disease.

In more recent years some studies have shown a very strong correlation between having gum disease and development of Alzheimer’s disease in later life. Many of the bacteria and their products associated with common type of gum disease have been found to be present in the brain of the individuals suffering from Alzheimer’s disease and dementia. Visiting dental hygienist to improve oral health can benefit individual in ways that may not have been recognised before.
In addition to cleaning the teeth and removing the deposits, the role of a dental hygienist is to further motivate and show how to maintain a good oral health based on your individual needs. Remember more teeth are lost due to gum disease than tooth decay.
One more reason for seeing a dental hygienist is to simply enjoy the therapeutic effect of the treatment that would make you feel refreshed and rejuvenated. When your mouth feels good, you feel healthy and more revitalised. We offer dental hygienist services in our clinic and you can fix up an appointment with one of our dental hygienists. You do not need to see a dentist before seeing a dental hygienist.
One of the most important roles of a dental hygienist is to demonstrate the correct methods of brushing and flossing. The wrong brushing technique can result in irreparable gum recession and cause tooth cavities. Modifies Bass Technique (click to see the video) is one of the most effective method of brushing with minimal risk of damage to gum and teeth.
Flossing once a day is an important part of having a good oral hygiene. Flossing removes plaque from the spaces in between the teeth where tooth brush cannot not get into. Using the correct method of flossing is essential not only in removing the plaque effectively, but also to ensure that you do not damage the gum.

Regular visits to a dental hygienist will help improve your dental health and prevent periodontal (gum) disease, bleeding gums and dental decay (caries).
Yes, dental hygienists who have received training in teeth whitening procedure can do the job.
It is extremely unlikely that a dental hygiene clean procedure can damage the teeth.
Dental hygiene clean is not automatically a painful experience.
Dental hygienists cannot extract teeth or do permanent fillings either.
Regular visits to a dental hygienist can give you the confidence of a good breath. We offer the least painful methods of teeth cleaning to give that wonderful refreshed feeling using the very latest equipment including Air Polishing Machines, which gently remove unsightly staining without damaging your teeth.
Diet advice, fluoride application, fissure sealants and oral hygiene instruction are all part of our programme of prevention of various dental problems.

If you get the feeling that your teeth and gums are not as clean as they could be even though you have just brushed them, you are probably right. It is time to consult a dental hygienist. Plaque is a nearly colourless film that constantly forms on your teeth. Formed from salivary proteins, bacteria and partly digested food particles, it lies hidden in hard to reach places between your teeth and gums.
Plaque bacteria make your gums tender and swollen, which eventually leads to chronic gum disease. If left untreated, this can progress to the loss of the bone which holds the teeth firmly in the jaws. This can lead to loosening and loss of the affected teeth.
The bacteria showering into the bloodstream can weaken the immune system and are recognised as contributory factors in other health problems, especially in cardiovascular diseases.
People generally tend to see the hygienist more frequently than their dentist to experience the sense of refreshment and rejuvenation each visit brings. A dental hygienist would check the soft tissues of the mouth during every visit and they have a good chance to notice any abnormalities at very early stages. This can help in early diagnosis of many oral health complications such as oral cancer, where early diagnosis is vital.
You will now realise why it is so critical to thoroughly remove the dental plaque everyday by brushing and flossing your teeth. This prevents the buildup of calculus (tartar) and reverses gum inflammation and bleeding, leading to a healthy mouth and a healthier YOU.
Correct brushing techniques are important to maintain your teeth well. Make sure you choose a small headed, medium strength brush that has a comfortable handle for good grip. These features help you to place the brush head onto the correct place on the tooth and gum to be effective.
Place the filaments of the brush at the neck of the tooth, pointing into the gum area and use very short “wiggling” movements to dislodge plaque from the stagnation areas at the gum margins around the necks of the teeth. Use small movements and gentle pressure – do not wear the teeth away! Be systematic in cleaning all of the surfaces of all the teeth. You may find that a “pen grip” minimises the use of excessive force. The dental hygienist can help you with the correct brushing techniques.
When used correctly according to the manufacturer’s instructions, these brushes can be very efficient at cleaning. There are two main types of power brush; the Electric Toothbrush and the Ultrasonic Toothbrush.
These have the size and comfort characteristics of a good manual brush and additionally have a powered oscillating and rotating action, which for many people makes the task of effective plaque removal much easier. You are not required to make the small brushing movements; the programmed brush movement does the work for you. But you need to apply the correct pressure and put the brush into all the right places – at the tooth / gum margins.
Ultrasonic toothbrushes use a microprocessor to create a sonic brushing frequency of 31,000 gentle brush strokes a minute. The combination of direct bristle contact and “dynamic fluid forces” created by the sonic waves produces a powerful cleaning effect to remove plaque bacteria in the hard to reach places between the teeth and below the gum line.