Invisalign lite braces in London – Bayswater Dental Clinic

Invisalign Before & After

Teeth Straightening with Invisalign & Clear Aligners

Teeth straightening is an essential part of modern orthodontic care, helping patients achieve a healthier bite and a confident smile. While traditional options like metal braces remain effective, many patients now prefer discreet solutions such as Invisalign. Our clinic offers expert Invisalign and advanced clear aligners for Paddington and Notting Hill patients providing comfortable, nearly invisible teeth straightening solutions tailored to your lifestyle and dental needs.

Invisalign Express Before & After

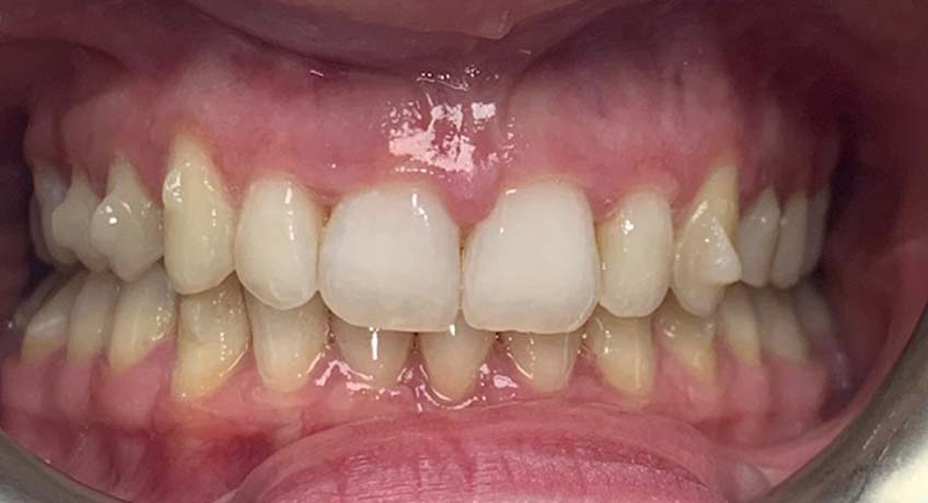
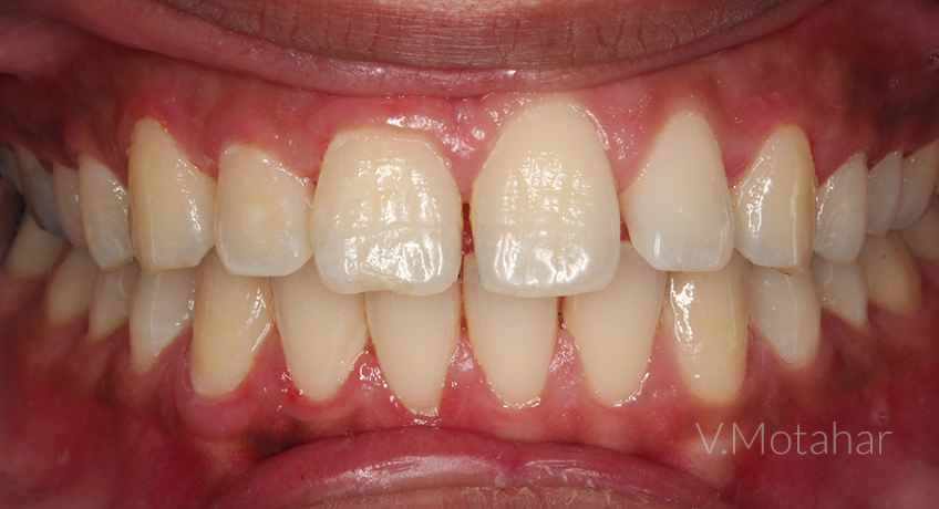
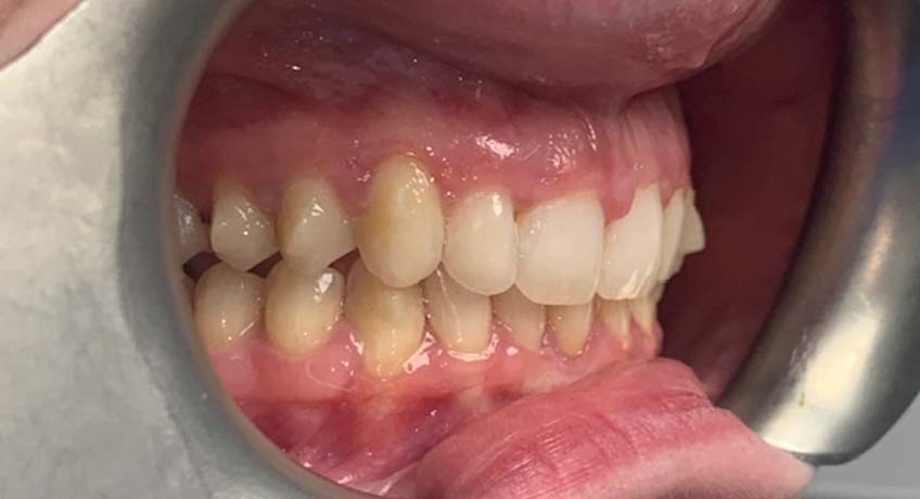
before
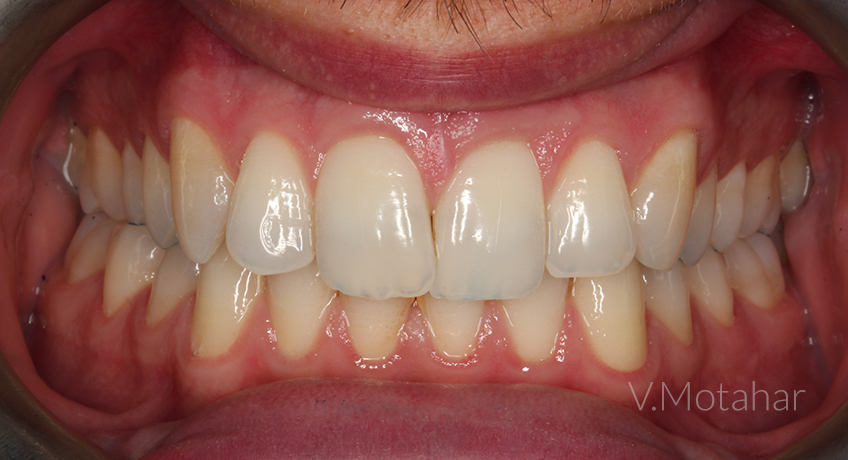
after

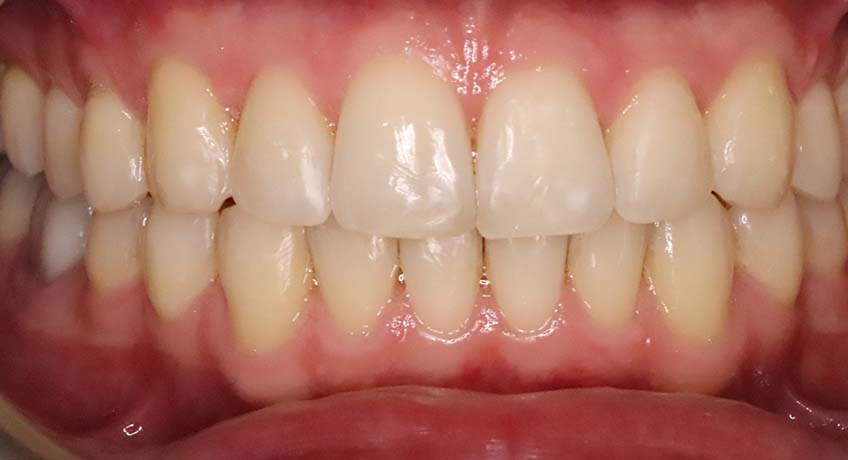
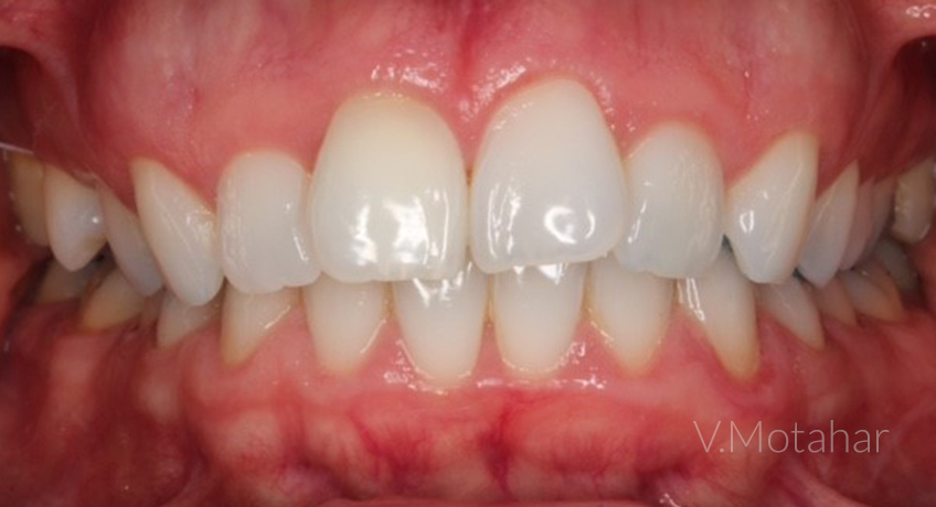
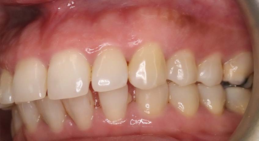
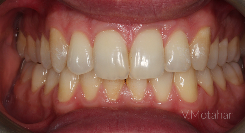
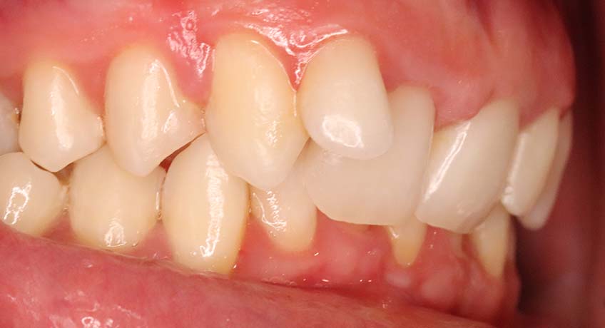
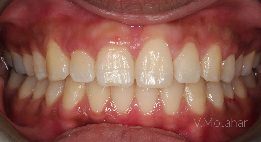
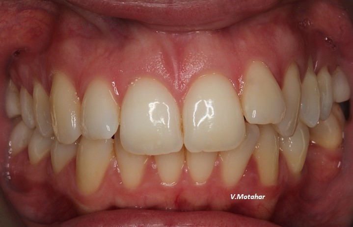
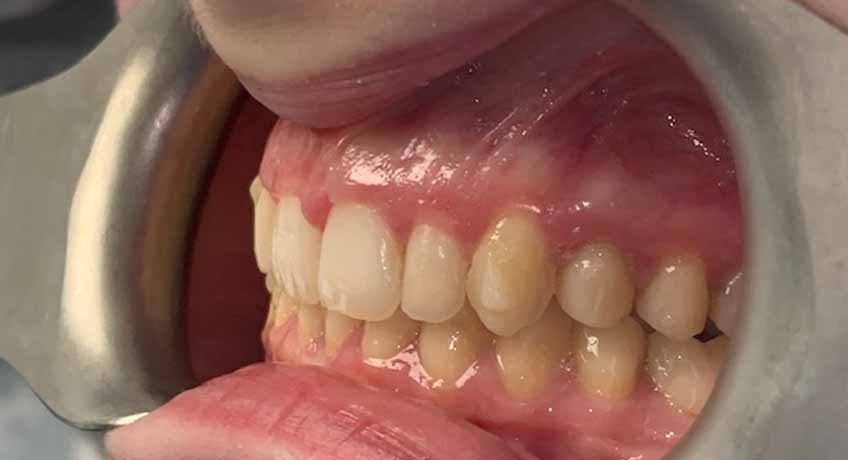
Invisalign Lite Before & After

The case below was treated with “Invisalign Lite”. patient’s main concern was to close the front gap. Also, have had some complementary teeth whitening.

before
after
before
after
before
after
before
after
before
after

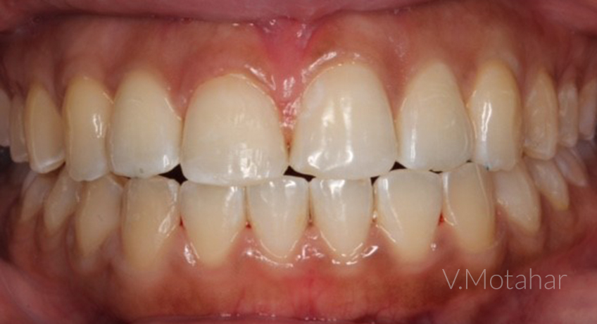
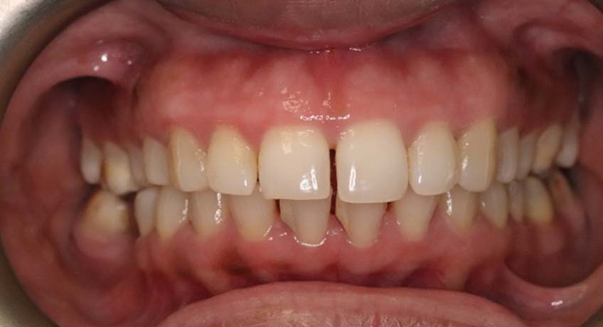
Case 1 - Invisalign

before
after
before
after
before
after

Case 2 - Invisalign

before
after
before
after

Case 3 - Invisalign

before
after

Case 4 - Invisalign

before
after
before
after
Opening Hours
  • Monday 09:00AM - 08:00PM
  • Tuesday 09:00AM - 08:00PM
  • Wednesday 09:00AM - 08:00PM
  • Thursday 09:00AM - 08:00PM
  • Friday 09:00AM - 08:00PM
  • Saturday 09:00AM - 08:00PM
  • Sunday 09:00AM - 04:00PM