Porcelain Veneers Before & After

Porcelain Dental Veneers & Cosmetic Dentistry Solutions in Paddington.

Our clinic offers advanced cosmetic dentistry treatments designed to enhance smiles and restore confidence. From porcelain dental veneers and dental bonding to solutions for missing teeth in Pad=2dington, we provide p=ersonalised care using modern techniques to achieve natural-looking, long-lasting results. Whether you are looking to improve tooth shape, colour, or overall smile aesthetics, our experienced dental team is here to help.

Porcelain Veneers Before & After

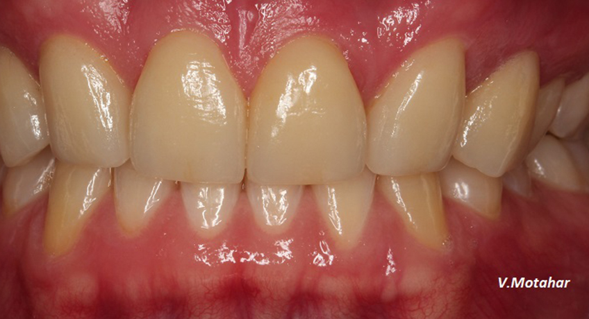
before
after
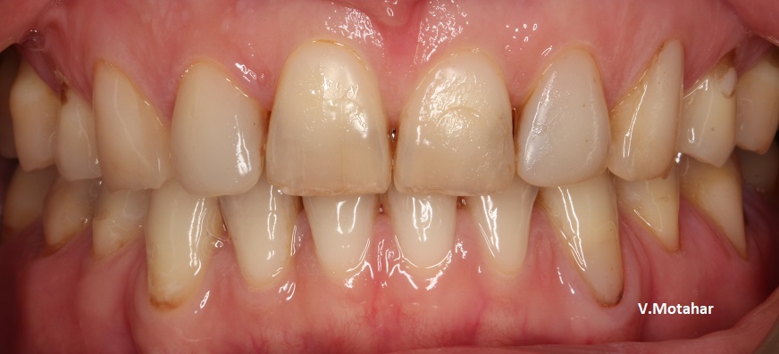
before
after
before
after
before
after
before
after
before
after
before
after
before
after
before
after
before
after
before
after

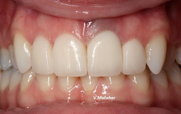
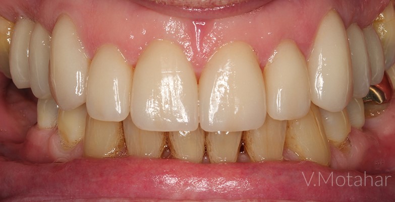
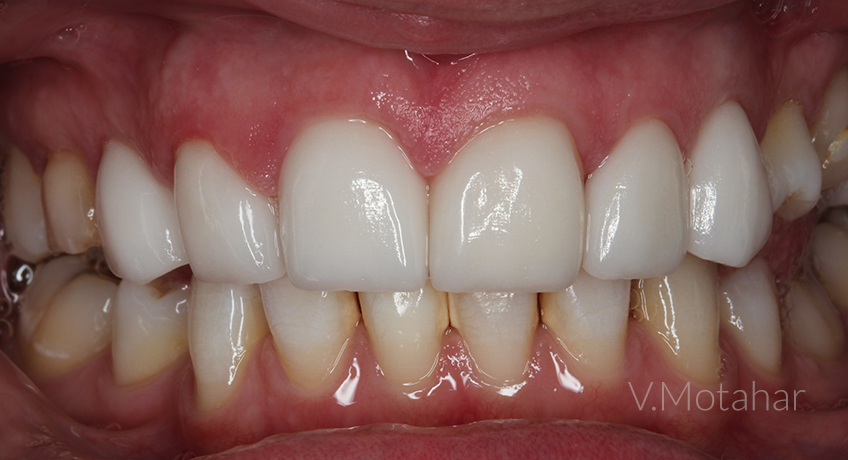
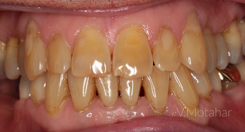
Emax veneers on top and bottom front 16 teeth.

before
after

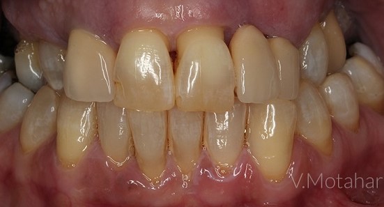
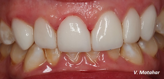
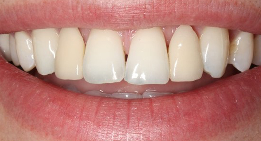
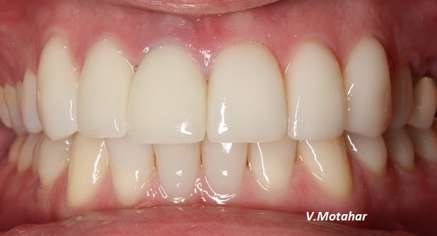
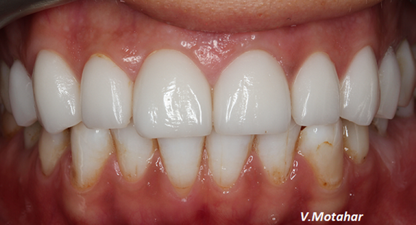
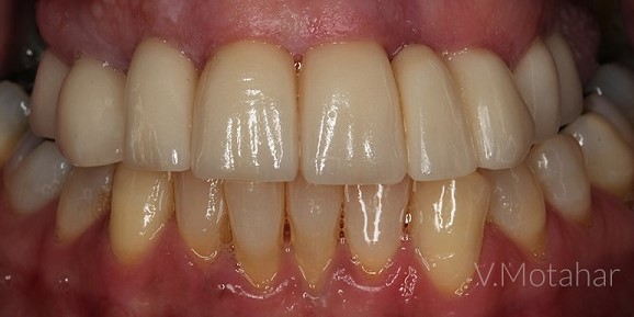
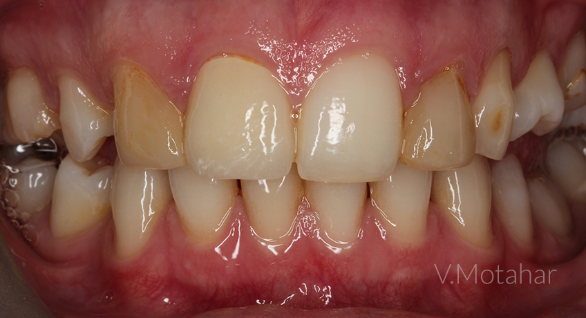
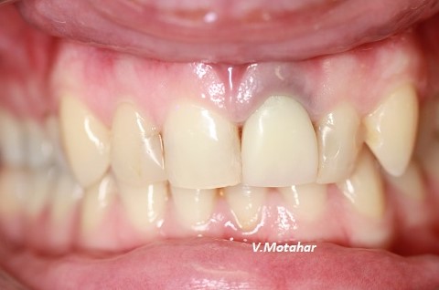
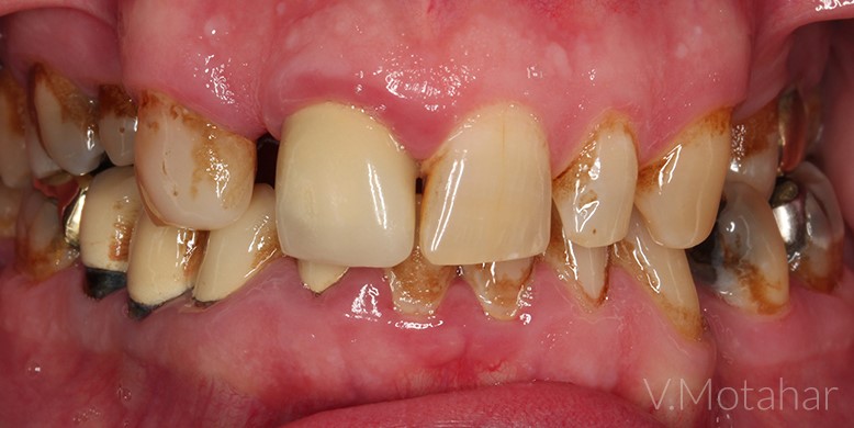
The case shown below was carried out by Dr V Motahar. Patient was not happy at all with the shapes and colour of the existing porcelain bonded with metal crowns. Some laser gum surgery(to improve the gum lines), two emax crowns and 6 emax veneers were done to achieve the result below.

before
after
before
after

This patient lost a porcelain veneer and requested us to make a replacement !

Opening Hours
  • Monday 09:00AM - 08:00PM
  • Tuesday 09:00AM - 08:00PM
  • Wednesday 09:00AM - 08:00PM
  • Thursday 09:00AM - 08:00PM
  • Friday 09:00AM - 08:00PM
  • Saturday 09:00AM - 08:00PM
  • Sunday 09:00AM - 04:00PM