Six Month Smiles Before & After

Six Month Smile Before and After Results – Bayswater Dental Clinic, London

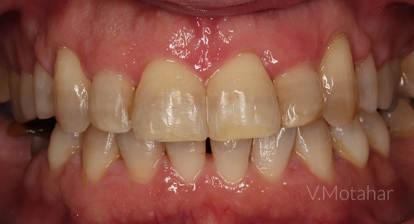
The Six Month Smile before and after results from Bayswater Dental Clinic in London highlight how this short-term orthodontic treatment can quickly and discreetly straighten teeth. Using clear, low-profile braces, Six Month Smile improves alignment, enhances smile aesthetics, and delivers noticeable results in a shorter timeframe with minimal impact on daily life.

Six Month Smiles Before & After

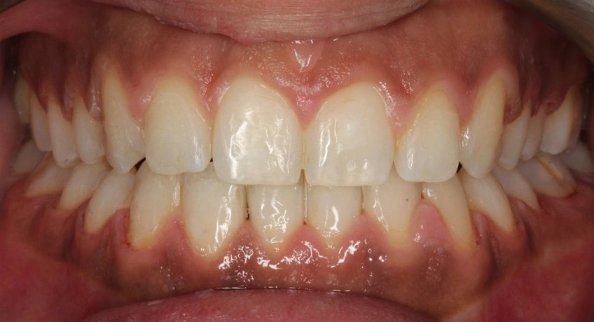
before
after
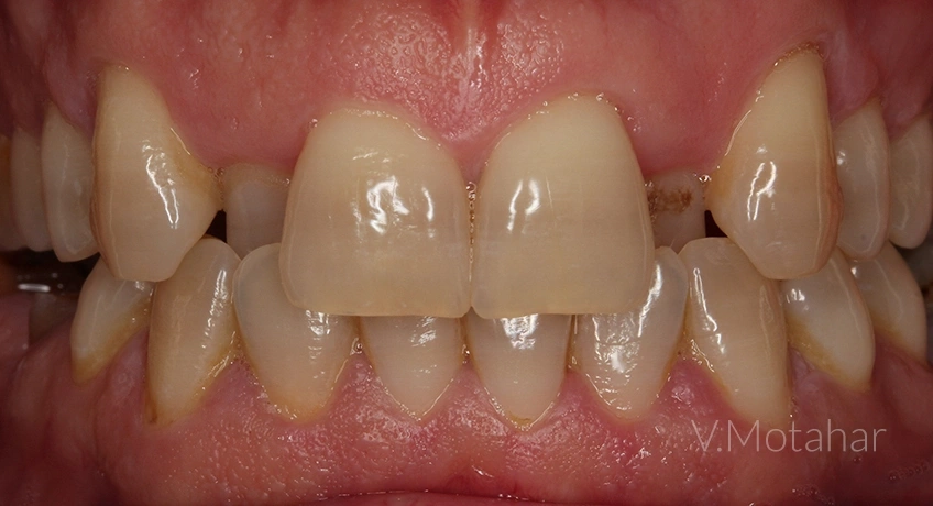
before
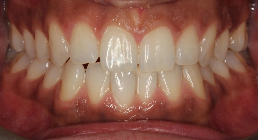
after
before
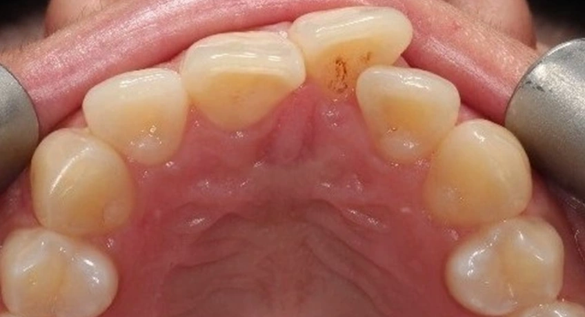
after

This patient was not happy with the top front teeth. Had very limited time frame. The result below was achieved with in 5 months of treatment. And, fixed-retainer was fitted after treatment

Opening Hours
  • Monday 09:00AM - 08:00PM
  • Tuesday 09:00AM - 08:00PM
  • Wednesday 09:00AM - 08:00PM
  • Thursday 09:00AM - 08:00PM
  • Friday 09:00AM - 08:00PM
  • Saturday 09:00AM - 08:00PM
  • Sunday 09:00AM - 04:00PM