Composite Bonding London Banner Image

Composite Bonding

Composite Bonding: A Quick, Non-Invasive Way to Enhance Your Smile

At Bayswater Dental Clinic, we offer composite bonding from £195 as a gentle cosmetic solution that can instantly repair small dental flaws — no drilling, no injections in many cases.

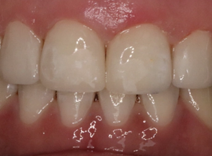
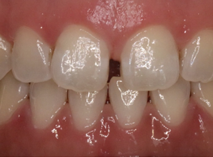
Before composite bonding in dentistry?

What Is Composite Bonding?

Also known as composite veneers, dental bonding, or tooth bonding, this technique involves applying a tooth-coloured resin directly to the surface of a tooth. Skilled shaping and polishing give it a natural look, making it ideal for:

  • Masking cracks or chips
  • Closing small gaps
  • Lengthening worn or short teeth (edge bonding)
  • Improving discolouration or uneven tooth appearance
  • Slightly adjusting alignment in mildly crooked cases

Because it’s minimally invasive and often reversible, composite bonding preserves the underlying tooth structure.

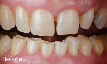
Composite Bonding Before Image
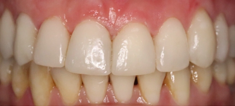
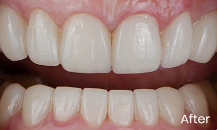
Composite Bonding After Image

Who Is a Good Candidate?

If your teeth and gums are healthy, composite bonding is generally a good option — regardless of your age. It’s best suited when your alignment is mild and your bite isn’t overly complicated.

However, it may not be ideal if:

  • Teeth are severely overlapping or crowded
  • Gum health is unstable or you have untreated cavities
  • You’re applying excessive pressure when biting (e.g. clenching, grinding)

In such cases, preliminary treatments or orthodontics may be needed before bonding.

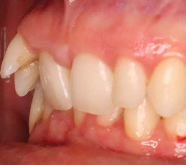
Before composite bonding in dentistry?

How Is Tooth Bonding Done?

  • Planning & Shade Selection

    Your dentist will talk through your goals and choose a resin shade to match your natural teeth.

  • Tooth Preparation

    The tooth is cleaned, slightly roughened, and treated with an etching solution to help the composite adhere.

  • Application & Sculpting

    Resin is placed in layers, shaped, and adjusted carefully to suit your bite and aesthetics.

  • Curing & Finishing

    A special light hardens the material, after which fine adjustments, smoothing, and polishing are done. Each tooth usually takes 30–45 minutes.

  • Final Check

    Your bite is tested, and small tweaks are made to ensure everything fits comfortably and looks natural.

Is the Composite Tooth Bonding Procedure Painful?

Generally no — most patients experience no pain and often don’t need local anaesthetic. Because little or no drilling is involved, it’s considered very patient-friendly. (Of course, if sensitivity or discomfort is expected, numbing can be used.)

Composite Bonding Treatment Before image
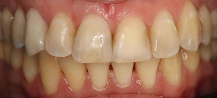
Composite Bonding Treatment After image

Aftercare & Longevity

  • Maintain great oral hygiene with regular brushing, flossing, and hygiene visits
  • Avoid nail-biting, ice chewing, or using teeth as tools
  • If you grind your teeth, a custom night guard helps protect the bonding
  • Avoid excess staining foods or drinks — while modern composites resist stains, they’re not invincible
  • Minor chips can often be repaired easily
  • On average, composite bonding lasts 3–5 years, though in our clinic we’ve seen bonded restorations last much longer with good care
price on Composite Bonding in london
Price on Composite Bonding in london

Pricing & Packages

Composite bonding costs can vary depending on the complexity, number of teeth, and additional cosmetic work. Here’s a rough guideline:

  • From £195 per tooth
  • Fixed-fee packages for special goals, e.g. closing a gap, smile makeovers
  • 0% finance available to simplify payments over 6–18 months
  • 1-year guarantee on composite repair in case of bond damage

Why Choose Us?

With over 20 years’ experience and thousands of successful cases, our cosmetic dentists at Bayswater Dental Clinic have refined techniques to deliver natural-looking, durable composite bonding. We focus on artistry, function, and long-term aesthetics — not just quick fixes.

Transform your smile gently and beautifully — book a free consultation today at Bayswater Dental Clinic to see whether composite bonding suits your needs and what we can achieve together.

Opening Hours
  • Monday 09:00AM - 08:00PM
  • Tuesday 09:00AM - 08:00PM
  • Wednesday 09:00AM - 08:00PM
  • Thursday 09:00AM - 08:00PM
  • Friday 09:00AM - 08:00PM
  • Saturday 09:00AM - 08:00PM
  • Sunday 09:00AM - 04:00PM